Огляд програм рентгенографії
Панорамна рентгенографія
- P1 Панорамна рентгенографія, стандарт
- P1 A Панорамна рентгенографія, зі зниженими артефактами
- P1 C Панорамна рентгенографія, постійне 1,25- кратне збільшення
- P2 Панорамна рентгенографія, без висхідних гілок
- P2 A Панорамна рентгенографія, без висхідних гілок, зі зниженими артефактами
- P2 C Панорамна рентгенографія, без висхідних гілок, постійне 1,25-кратне збільшення
- P10 Панорамна рентгенографія для дітей
- P10 A Панорамна рентгенографія для дітей, без висхідних гілок, зі зниженими артефактами
- P10 C Панорамна рентгенографія для дітей, без висхідних гілок, постійне 1,25-кратне збільшення
- P12 Товстий шар, область фронтальних зубів
Прикусна рентгенографія
- BW1 Прикусна рентгенографія на ділянці бічних зубів
- BW2 Прикусна рентгенографія на ділянці фронтальних зубів
Рентгенографія скронево-нижньощелепних суглобів (СНЩС)
- TM1.1 / TM1.2 Скронево-нижньощелепні суглоби збоку при закритті і розкритті рота, двочастинний знімок
- TM3 Скронево-нижньощелепні суглоби збоку, висхідні гілки
Рентгенографія синусів
- S1 Додаткові пазухи носа
- S3 Додаткові пазухи носа, лінійний розріз
Дистанційна рентгенографія
Якщо апарат обладнаний цефалометром, можна виконувати також дистанційну рентгенографію
- C1 Знімок, задньо-передній, симетричний
- C2 Знімок передньо-задній, симетричний
- C3 Знімок, бічний
- C3F Повноформатний знімок, бічний
- C4 Рентгенограма зап'ястя, симетрична
Об'ємна рентгенографія
|
Програма |
Об’ємна область |
Колімація |
|
VOL1 SD Ізотропна довжина кромки вокселя: 160 мкм VOL1 НD Ізотропна довжина кромки вокселя: 160 мкм VOL1 Low Ізотропна довжина кромки вокселя: 160 мкм |
Об'ємна рентгенографія діаметром прибл. 8 см та висотою прибл. 8 см або 5,5 см, колімована |
|
|
VOL2 SD Ізотропна довжина кромки вокселя: 160 мкм VOL2 НD Ізотропна довжина кромки вокселя: 80 мкм VOL2 Low Ізотропна довжина кромки вокселя: 160 мкм |
Об'ємна рентгенографія діаметром прибл. 5 см та висотою прибл. 5,5 см для верхньої або нижньої щелепи |
|
|
Опція: VOL3 SD Ізотропна довжина кромки вокселя: 220 мкм VOL3 НD Ізотропна довжина кромки вокселя: 160 мкм VOL3 Low Ізотропна довжина кромки вокселя: 220 мкм |
Об'ємна рентгенографія діаметром прибл. 11 см та висотою прибл. 10 см або вибір верхнього квадранта, колімовано на 7,5 см і вибір нижнього квадранта, колімовано на 8,0 см |
|
Розміри приладу та мінімальні відстані до стін та меблів.


Вимоги до комп`ютера для встановлення Sidexis 4
Сервер
Sidexis 4 вимагає MS SQL Server. Sidexis 4 сумісний з МС SQL Server 2014 та 2017. MS SQL Server 2014 Express буде встановлений програмою Sidexis 4, якщо програма ще не була встановлена.
|
|
Мінімальні параметри |
Рекомендовані параметри |
|
Операційна система |
Windows 8.1 Pro (64 bit)1 Windows 10 Pro (64 bit)1, 2 Windows Server 2008 R2 Windows Server 2012 R2 Windows Server 2016 Windows Server 2019 |
Windows Server 2008 R2 Windows Server 2012 R2 Windows Server 2016 Windows Server 2019 |
|
RAM |
> 4 GB |
> 8 GB |
|
CPU |
> 2 GHz DualCore |
> 2.3 GHz QuadCore processor with 64 bit (x64) |
|
Hard disk |
> 675 GB |
> 1 TB |
|
Graphic card |
> 512 MB |
> 1GB |
|
Графічна карта з виділеною графічною пам'яттю або Intel Onboard Графічна карта (3) |
||
|
DirectX |
DirectX 9.0c |
DirectX 10 |
|
with WDDM driver 1.0 or higher |
||
Робоча станція
|
|
Мінімум для 2D |
Мінімум для 3D |
|
Операційна система |
Windows 7 Pro SP1 (32 or 64 bit) Windows 8.1 Pro (64 bit) Windows 10 Pro (64 bit)2 |
Windows 7 Pro SP1 (32 or 64 bit) Windows 8.1 Pro (64 bit) Windows 10 Pro (64 bit)2 |
|
RAM |
> 4 GB |
> 8 GB |
|
CPU |
> 2 GHz DualCore |
> 2.3 GHz QuadCore processor with 64 bit (x64) |
|
Hard disk |
> 5 GB |
> 5 GB |
|
Graphic card |
> 512 MB |
> 1GB |
|
Графічна карта з виділеною графічною пам'яттю або Intel Onboard Графічна карта (3) |
||
|
DirectX |
DirectX 9.0c |
DirectX 10 with WDDM 1.0 or higher driver |
(3) Intel вбудована графічна карта не має власної памяті та використовує RAM компютера
Для того, щоб робота з 3D-відображеним була надійною та без спотворень, графічні картки рекомендуються принаймні з такими орієнтирами GPU:
NVIDIA: Passmark> 1000
AMD: Passmark> 1500
Вбудована Intel: Passmark> 540
Значення Passmark можна перевірити, якщо назву відеокарти можна знайти, на www.videocardbenchmark.net.
Монітор
| Мінімальні параметри | Рекомендовані параметри | |
| Роздільна здатність | 1280 x 1024 pixels |
1600 x 1200 pixels |
Рентген томограф ORTHOPHOS S 3D 8х8, об'єм зйомки: 5х5,5, 8х8 см (Dentsply Sirona)
Orthophos S 3D — це універсальний рентгенівський апарат високої якості, розроблений для широкого спектру клінічних завдань у 2D та 3D, що робить його надійним партнером для будь-якої стоматологічної практики.

Справжній універсал свого класу
Високоякісний 2D/3D рентгенівський апарат з повним спектром послуг для кожної практики. Чи то як чисто 2D-пристрій, чи то з 3D-модулем – Orthophos S є надійним партнером, оптимізованим для щоденних завдань. Його датчик CsI з функцією автофокусування забезпечує чіткі зображення навіть у анатомічно складних випадках. Запатентований оклюзійний прикусний блок автоматично позиціонує пацієнтів. Для використання в ортодонтії Orthophos S також доступний з додатковим цефалометричним кронштейном. А оскільки Dentsply Sirona важлива перспективність, цефалометричний кронштейн можна модернізувати в будь-який час.

1. Чіткі та автофокусовані зображення
- Навіть у анатомічно складних випадках завдяки 2D CsI-сенсору з функцією автофокусування.
2. 3D відповідно до ваших потреб
- Завдяки функції низької дози та HD ви можете створювати 3D-зображення в діапазоні доз 2D-рентгенівського випромінювання та HD-зображень з роздільною здатністю до 80 мкм.
3. Максимальна стабільність та відтворюваність
- Завдяки автоматичному позиціонуванню пацієнта за допомогою запатентованого оклюзійного прикусного блоку.
4. Вибір розміру
- Від ø 5 см x 5,5 см до ø 8х8 см
5. Опціональний цефалометричний кронштейн (Кеф-рука)
- Для цефалограмних зображень можна замовити як додаткову опцію або встановити в будь-який час. Можливість монтажу зліва або справа від пристрою.
5. Безпечне та перевірене позиціонування пацієнта
- З моторизованою опорою для скронь та чола, автоматичним вимірюванням ширини скронь, світловимірювачами та міцними ручками.
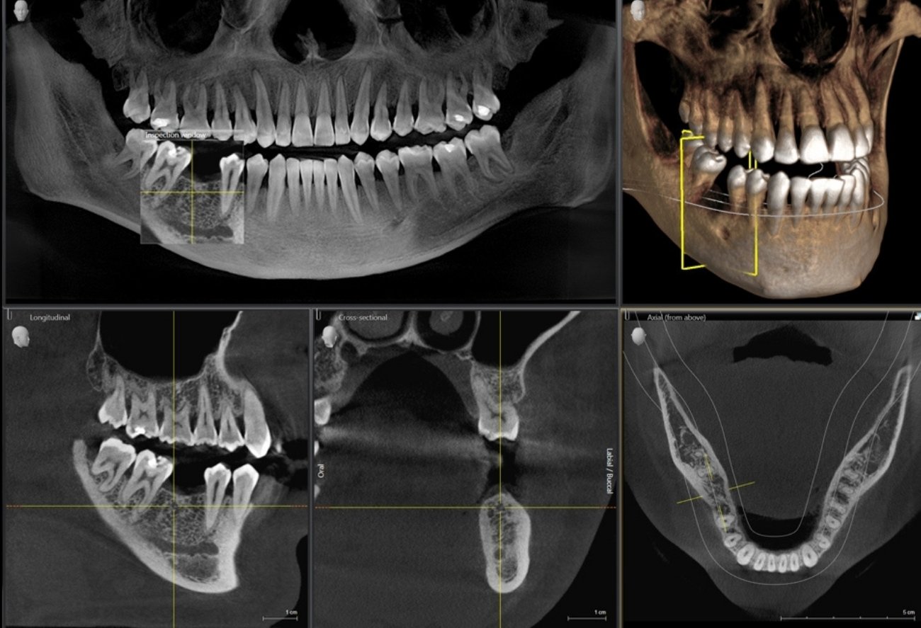
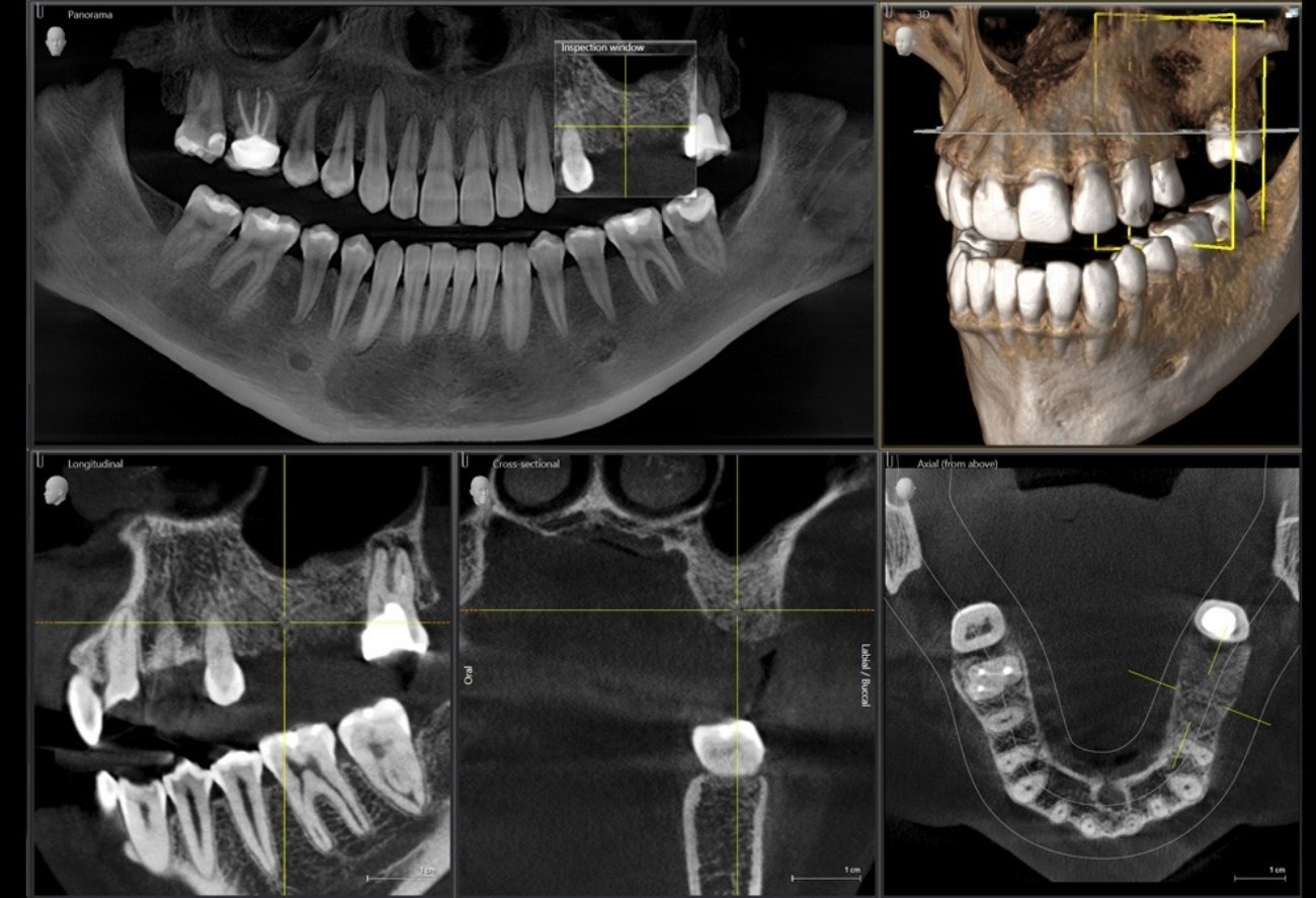
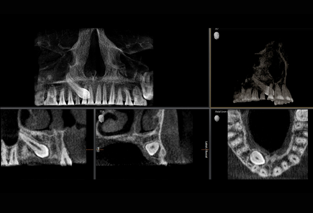
Приклади 3D-зображень:






- Інтуїтивно зрозумілий інтерфейс користувача EasyPad
- Допоміжні засоби автоматичного позиціонування, такі як оклюзійний прикусний блок та 3-точкова фіксація голови
- Інтегроване вимірювання ширини скронь



Правильний фокус має вирішальне значення для отримання чудових панорамних рентгенограм. Завдяки функції автофокусування ви автоматично отримаєте зображення з найкращою можливою різкістю у фокусі. Прилади для візуалізації Dentsply Sirona роблять кілька тисяч окремих зображень за один цикл і автоматично визначають області, де щелепа розташована оптимально. Без будь-яких додаткових ручних кроків ці зображення потім відображаються у вигляді остаточного чіткого зображення.




3. Чи можна оновити 2D-ORTHOPHOS за допомогою 3D-датчика?
- Orthophos SL 2D та Orthophos S 2D дозволяють 3D-оновлення. Axeos – це спеціалізований гібридний пристрій. Orthophos E не пропонує такої опції.