Професійний комплект за спеціальною ціною 62 000 євро:
- 1x Axeos рентгенівський апарат
- 150х преміальних імплантатів PrimeTaper
- 1x повний хірургічний або навігаційний набір

Детальніше - за посиланням
Рентген томограф Axeos, об'єм зйомки від 5х5.5 до 17х13 см, Dentsply Sirona)

Axeos – спеціалізована система 2D/3D з великим об'ємом і високою якістю зображення для клінік, що пропонують широкий спектр послуг. Розроблена спільно з стоматологами та клініками, Axeos забезпечує найповніший набір функцій серед усіх рентгенівських апаратів Dentsply Sirona.
Чому варто обрати Axeos?
1. Широкий діапазон поля зору від Ø 5 см x 5,5 см до Ø 17 см x 13 см
- Різні розміри об'єму забезпечують гнучкість у повсякденній практиці. Досліджуйте конкретну ділянку або оцінюйте весь зубний ряд.
2. Унікальний 2D DCS-сенсор з функцією автофокусування та цефалостатом
- Для виняткових панорамних зображень з високою різкістю. Ви можете обрати додатково цефалостат, який можна дообладнати в будь-який час.
3. Концепція позиціонування пацієнта та асистента з візуалізації
- За допомогою EasyPad та автопозиціонера для високої якості зображення, легкої відтворюваності та комфорту для пацієнта та асистента
4. Інтелектуальне регулювання висоти
- Для ефективної роботи та скорочення часу очікування. Інтелектуальне регулювання висоти автоматично налаштовує пристрій відповідно до зросту пацієнта на основі збережених налаштувань з попередніх візитів.
5. Інтелектуальна функція низької дози та HD
- Завдяки режиму інтелектуальної низької дози ви отримуєте 3D-зображення в діапазоні дози 2D-рентгену. У режимі HD (до 1400) окремі зображення фіксуються під час одного оберту та перетворюються на 3D-об'єм з роздільною здатністю до 80 мкм для отримання зображень з низьким рівнем шуму у високій роздільній здатності.
6. Інтеграція у великі мережі клінік та DSO
- Завдяки підключенню до PACS, RIS, DICOM Worklist та DICOM Printers. Рентгенівські знімки відповідно до стандарту DICOM
Об'ємні розміри для ваших потреб
- 5 cm x 5.5 cm - для місцевих випадків, наприклад, для ендодонтичних проблем або одиничних імплантатів
- 8 cm x 8 cm - сканування нижнього та верхнього зубного ряду, наприклад, для планування множинних імплантатів.
- 11 cm x 10 cm - показує повний зубний ряд, включно з зубами мудрості
- 17 cm x 13 cm - охоплює повний зубний ряд, включаючи обидва скронево-нижньощелепні суглоби та основу черепа.
Галерея 3D-рентгенівських знімків



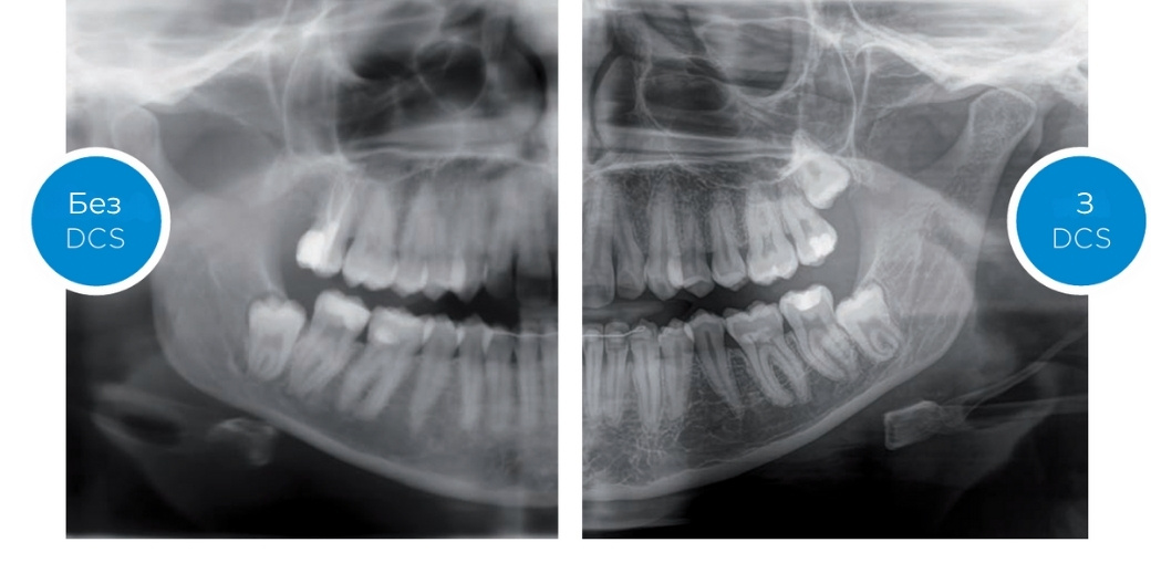
Датчик прямого перетворення (DCS): покращте якість своїх зображень
Датчик прямого перетворення (DCS) революціонізував стандарт панорамної візуалізації. Рентгенівські промені перетворюються безпосередньо на електричні сигнали. Таким чином, немає втрати сигналу через перетворення світла, як у випадку з традиційними системами. Результат: зображення з високим рівнем різкості та контрастності – навіть при надзвичайно низькій дозі опромінення. Для отримання точної діагностичної інформації для підтримки цілеспрямованого лікування.
На зображенні нижче показано панорамний рентгенівський знімок без технології DCS та з нею.

Приклади Intelligent Low Dose Indication


Автофокусування – Виняткові зображення, жодних ручних дій
Правильний фокус має вирішальне значення для отримання чудових панорамних рентгенограм. Завдяки функції автофокусування ви автоматично отримаєте зображення з найкращою можливою різкістю у фокусі. Рентгенівські апарати Dentsply Sirona роблять кілька тисяч окремих зображень за один цикл і автоматично розпізнають області, в яких щелепа розташована оптимально. Чітке панорамне зображення створюється з окремих проекцій – без будь-яких ручних проміжних кроків.

LED-підсвітка інтер'єру
Axeos оснащений підсвічуванням, яке освітлює пристрій та створює заспокійливу атмосферу, щоб зробити перебування ваших пацієнтів максимально приємним. Завдяки вибору з понад 35 кольорів ви можете бути впевнені, що воно ідеально впишеться в естетику вашої сучасної практики.
- об’єм зйомки від Ø 5х5.5 до Ø 17х13 см
- Час панорамної експозиції: P1: макс. 14,2 с і P1 Quickshot: макс. 9,1 с
- Час експозиції Ceph: Standard 9,4 с і Quickshot 4,7 с
- розмір вокселя від 80 μm (у HD-режимі)
- 2D-DCS сенсор з автофокусом
- автопозиціонування пацієнта
- патентована оклюзійна накусочна пластина
- цефалостат (опція)
- пісвітка Ambient Light
- 3D TMJ-діагностика
- ортодонтичне планування
- ортогнатичне хірургічне планування
- отоларингологія
Додаткова опція. Програмне забезпечення SICATIMPLANT що інтегрується в Sidexis.(Вартість 4000 EUR)
Завдяки програмному забезпеченню SICATIMPLANT стоматологу пропонується повний робочий процес: від 3D-діагностики до цифрового планування імплантацій а також замовлення хірургічних шаблонів різного дизайну.
Скористайтеся перевагами повної бібліотеки з понад 13 000 імплантатів, абатментів та sleeve systems.
Огляд програм рентгенографії
Панорамна рентгенографія
P1 Панорамна рентгенографія, стандарт
P1 A Панорамна рентгенографія, зі зниженими артефактами
P1 C Панорамна рентгенографія, постійне 1,25- кратне збільшення
P2 Панорамна рентгенографія, без висхідних гілок
P2 A Панорамна рентгенографія, без висхідних гілок, зі зниженими артефактами
P2 C Панорамна рентгенографія, без висхідних гілок, постійне 1,25-кратне збільшення
P10 Панорамна рентгенографія для дітей
P10 A Панорамна рентгенографія для дітей, без висхідних гілок, зі зниженими артефактами
P10 C Панорамна рентгенографія для дітей, без висхідних гілок, постійне 1,25-кратне збільшення
P12 Товстий шар, область фронтальних зубів
Прикусна рентгенографія
BW1 Прикусна рентгенографія на ділянці бічних зубів
BW2 Прикусна рентгенографія на ділянці фронтальних зубів
Рентгенографія скронево-нижньощелепних суглобів (СНЩС)
TM1.1 / TM1.2 Скронево-нижньощелепні суглоби збоку при закритті і розкритті рота, двочастинний знімок
TM3 Скронево-нижньощелепні суглоби збоку, висхідні гілки
Рентгенографія синусів
S1 Додаткові пазухи носа
S3 Додаткові пазухи носа, лінійний розріз
Дистанційна рентгенографія
Якщо апарат обладнаний цефалометром, можна виконувати також дистанційну рентгенографію.
- C1 Знімок, задньо-передній, симетричний
- C2 Знімок передньо-задній, симетричний
- C3 Знімок, бічний
- C3F Повноформатний знімок, бічний
- C4 Рентгенограма зап'ястя, симетрична
Об'ємна рентгенографія
Рентгенівська система Axeos представлена у вигляді гібридного 2D/3D агрегата. На цьому пристрої наявні програми об'ємної рентгенографії VOL1 SD, VOL1 HD, VOL1 Low, VOL2 SD, VOL2 HD, VOL2 Low, VOL3 SD, VOL3 HD, VOL3 Low, VOL4 SD, VOL4 HD, VOL4 Low
|
Програма |
Об'ємна область |
|
- VOL1 SD Ізотропна довжина кромки вокселя: 160 мкм - VOL1 НD Ізотропна довжина кромки вокселя: 160 мкм - VOL1 Low Ізотропна довжина кромки вокселя: 160 мкм |
Об'ємна рентгенографія діаметром прибл. 8 см та висотою прибл. 8 см або 5,5 см, колімована. |
|
- VOL2 SD Ізотропна довжина кромки вокселя: 160 мкм - VOL2 НD Ізотропна довжина кромки вокселя: 80 мкм - VOL2 Low Ізотропна довжина кромки вокселя: 160 мкм |
Об'ємна рентгенографія діаметром прибл. 5 см та висотою прибл. 5,5 см для верхньої або нижньої щелепи |
|
- VOL3 SD Ізотропна довжина кромки вокселя: 220 мкм - VOL3 НD Ізотропна довжина кромки вокселя: 160 мкм - VOL3 Low Ізотропна довжина кромки вокселя: 220 мкм |
Об'ємна рентгенографія діаметром прибл. 11 см та висотою прибл. 10 см або вибір верхнього квадранта, колімовано на 7,5 см і вибір нижнього квадранта, колімовано на 8,0 см |
|
- VOL4 SD Ізотропна довжина кромки вокселя: 220 мкм - VOL4 НD Ізотропна довжина кромки вокселя: 220 мкм - VOL4 Low Ізотропна довжина кромки вокселя: 220 мкм |
Об'ємна рентгенографія діаметром прибл. 17 см та висотою прибл. 13 см або вибір верхнього квадранта, колімовано на 10 см і вибір нижнього квадранта, колімовано на 7,5 см |
Розміри приладу
01.03.2023 введено нові норми ДБН для закладів охорони здоров'я.
Згідно них площа рентгенкабінету при новому будівництві повинна бути 14 мкв, при реконструкції старих приміщень 10 мкв.
Вимоги до комп`ютера для встановлення Sidexis 4
Сервер
Sidexis 4 вимагає MS SQL Server. Sidexis 4 сумісний з МС SQL Server 2014 та 2017. MS SQL Server 2014 Express буде встановлений програмою Sidexis 4, якщо програма ще не була встановлена.
|
|
Мінімальні параметри |
Рекомендовані параметри |
|
Операційна система |
Windows 8.1 Pro (64 bit)1 Windows 10 Pro (64 bit)1, 2 Windows Server 2008 R2 Windows Server 2012 R2 Windows Server 2016 Windows Server 2019 |
Windows Server 2008 R2 Windows Server 2012 R2 Windows Server 2016 Windows Server 2019 |
|
RAM |
> 4 GB |
> 8 GB |
|
CPU |
> 2 GHz DualCore |
> 2.3 GHz QuadCore processor with 64 bit (x64) |
|
Hard disk |
> 675 GB |
> 1 TB |
|
Graphic card |
> 512 MB |
> 1GB |
|
Графічна карта з виділеною графічною пам'яттю або Intel Onboard Графічна карта (3) |
||
|
DirectX |
DirectX 9.0c |
DirectX 10 |
|
with WDDM driver 1.0 or higher |
||
Робоча станція
|
|
Мінімум для 2D |
Мінімум для 3D |
|
Операційна система |
Windows 7 Pro SP1 (32 or 64 bit) Windows 8.1 Pro (64 bit) Windows 10 Pro (64 bit)2 |
Windows 7 Pro SP1 (32 or 64 bit) Windows 8.1 Pro (64 bit) Windows 10 Pro (64 bit)2 |
|
RAM |
> 4 GB |
> 8 GB |
|
CPU |
> 2 GHz DualCore |
> 2.3 GHz QuadCore processor with 64 bit (x64) |
|
Hard disk |
> 5 GB |
> 5 GB |
|
Graphic card |
> 512 MB |
> 1GB |
|
Графічна карта з виділеною графічною пам'яттю або Intel Onboard Графічна карта (3) |
||
|
DirectX |
DirectX 9.0c |
DirectX 10 with WDDM 1.0 or higher driver |
(3) Intel вбудована графічна карта не має власної памяті та використовує RAM компютера
Для того, щоб робота з 3D-відображеним була надійною та без спотворень, графічні картки рекомендуються принаймні з такими орієнтирами GPU:
NVIDIA: Passmark> 1000
AMD: Passmark> 1500
Вбудована Intel: Passmark> 540
Значення Passmark можна перевірити, якщо назву відеокарти можна знайти, на www.videocardbenchmark.net.
Монітор
|
|
Мінімальні параметри |
Рекомендовані параметри |
|
Роздільна здатність |
1280 x 1024 pixels |
1600 x 1200 pixels |
Брошура. Axeos. Відчуйте різницю (англ.мова)